Actueel

MRI scans herkennen verslaving vroegtijdig bij jongeren

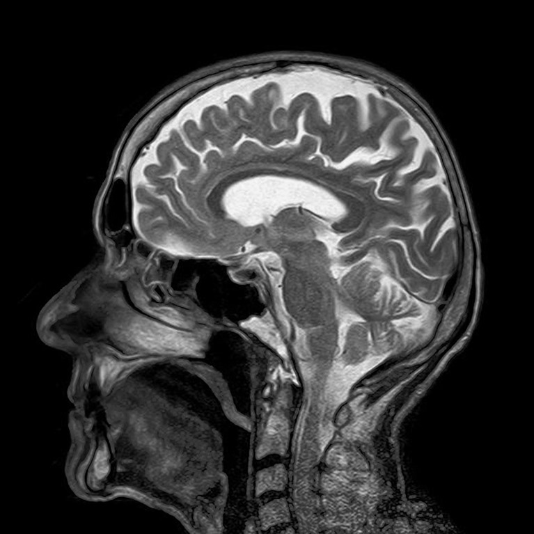
9 jaar geleden  - MRI-scans zijn veelbelovend voor het vroegtijdig herkennen van een verslaving bij adolescenten, meldt de website van Oregon State University. De scan vertaalt de signalen van de hersenen in beelden die inzicht bieden in de hoogte van het risico op een verslaving. Herkenning op vroege leeftijd zorgt er voor dat er ook op tijd hulp kan worden aangeboden.

Lees verder >

Tournée Minérale van start: ruim 100.000 deelnemers

9 jaar geleden  - Tournée Minérale, de maand zonder alcohol in België, is vandaag van start gegaan. Het verwachte aantal deelnemers was in eerste instantie 15.000, maar is uitgegroeid tot meer dan 100.000. Het initiatief komt van Stichting tegen Kanker en het Vlaams expertisecentrum Alcohol en andere Drugs (VAD).

Lees verder >

Aantal zelfdodingen kan worden teruggedrongen door alertheid

9 jaar geleden  - Het aantal zelfdodingen blijft ieder jaar stijgen. Afgelopen jaren zijn er in Nederland ruim 1800 zelfdodingen per jaar. Bij 70 tot 90 procent van de gevallen is er sprake van een psychiatrische stoornis. Psychiater Irene van Vliet vindt dat niet alleen psychiaters en psychologen, maar ook de omgeving alerter moet zijn op dit aantal terug te dringen.

Lees verder >

Vroeg begin van wietgebruik heeft nadelige gevolgen ontwikkeling

9 jaar geleden  - Marihuanagebruik geeft minder risico op hersenbeschadiging als men er niet voor zeventienjarige leeftijd mee begint. Dat bevestigt nieuw onderzoek van de Universiteit Cambridge. Zij bestudeerde eerder onderzoek van de Universiteit Montreal.

Lees verder >

Onderzoek verband roken en psychische problemen

9 jaar geleden  - Jorien Treur, gezondheidswetenschapper aan de Radboud Universiteit, onderzoekt de relatie tussen tabak/cannabisgebruik en psychische gezondheid. Treur ontvangt een Rubiconbeurs van NWO, die jonge, veelbelovende wetenschappers de kans geeft om internationale onderzoekservaring op te doen.

Lees verder >

Verplichte anticonceptie verslaafde vrouwen onwenselijk

9 jaar geleden  - Het meldpunt Zwanger en Verslaafd wil verplichte anticonceptie mogelijk maken bij verslaafde vrouwen, meldt RTL Nieuws. Een rechter zou deze beslissing moeten nemen, maar volgens ethicus Gert van Dijk van de Artsenfederatie KNMG is dit onwenselijk, omdat verslaafde vrouwen zich dan aan de verslavingszorg zullen onttrekken.

Lees verder >
LEES MEER...